Pentas profesi ajang tanamkan semangat berani bermimpi sejak dini
Kelompok Belajar (KB) Taman Kanak-kanak Islam Terpadu (TKIT) An Nahl Bringin Bendo, Sidoarjo, menggelar pentas profesi sebagai sarana menanamkan semangat...
Kelompok Belajar (KB) Taman Kanak-kanak Islam Terpadu (TKIT) An Nahl Bringin Bendo, Sidoarjo, menggelar pentas profesi sebagai sarana menanamkan semangat...
Pemerintah Kabupaten Banyuwangi, Jawa Timur, segera menambah sarana prasarana penunjang di Taman Wisata Alam Kawah Ijen, salah satunya fasilitas air...
Wakil Presiden RI Gibran Rakabuming Raka menilai peringatan Hari Lahir Pancasila sebagai momen untuk mengenang, meresapi, dan mengimplementasikan nilai-nilai luhur...
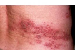
Dokter spesialis penyakit dalam konsultan reumatologi dr. Sandra Sinthya Langow, SpPD-KR menjelaskan gejala penyakit cacar api yang umumnya ditemukan pada...
Ketua DPP PDI Perjuangan Djarot Saiful Hidayat mengatakan bahwa kongres partai hanya tinggal mengukuhkan Megawati Soekarnoputri untuk kembali menjabat sebagai...
Tim Aston Martin mengumumkan Lance Stroll tak mengikuti Grand Prix Spanyol di Circuit de Catalunya, Barcelona, Minggu.Aston Martin mengatakan bahwa Stroll...
Tim Badan SAR Nasional (Basarnas) Banda Aceh mengevakuasi seorang warga negara Filipina yang juga anak buah kapal tanker berbendera Kepulauan...
Gelandang Inter Milan Nicolo Barella mengatakan timnya akan bangkit kembali setelah menelan kekalahan menyakitkan 0-5 dari Paris Saint-Germain (PSG) dalam...
Survei terbaru Indonesia Political Opinion (IPO) mencatat 81 persen masyarakat puas atas kinerja Presiden RI Prabowo Subianto.Sebagaimana keterangan yang diterima...
Presiden Prabowo Subianto menyatakan bahwa anak-anak generasi emas adalah garda terdepan dalam menjaga Pancasila tetap hidup, bukan sekadar dalam hafalan,...